
我要配资网网
2026年1月4日,东莞市肝胆医院(南城医院)第二批援藏医疗队肩负使命,奔赴西藏林芝市巴宜区,开展医疗支援工作。
医疗队由副院长梁婉红带队,成员包括外科主任叶锡银、副主任阮舜、麻醉科副主任医师臧建明等共10名来自手术、麻醉、护理、消毒供应等科室的业务骨干,组成了一支经验丰富、协作紧密的复合型团队。
1月5日抵达西藏后,医疗队迅速与巴宜区人民医院外科团队对接,全面检查手术室及相关设备器械,为后续手术顺利开展奠定基础。

在总结第一批援藏经验的基础上,本次医疗队特别增设消毒供应专家,进一步加强手术器械的灭菌与流转管理,从源头保障手术安全。

医疗队深入病房,为数位患者进行开展查体与病情评估,并制定详细的诊疗方案。


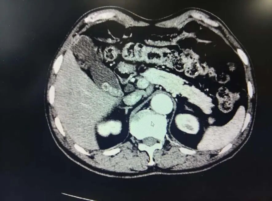
当天下午,医疗队围绕一例合并高血压、低血钾的胆囊结石患者,与当地医生共同开展术前多学科(MDT)病例讨论。患者69岁,有高血压病史,且因青光眼双目失明,这些情况为麻醉管理与术中用药带来较大挑战。

影像学检查提示患者胆囊多发结石、胆总管稍扩张,需排除梗阻可能。若采取腔镜下胆总管探查或ERCP治疗,均会延长麻醉时间、增加手术风险。
经过充分论证,团队决定在术中实施胆道造影,以明确胆总管情况,避免不必要的复杂操作,从而控制手术时间。同时,团队制定了详细的术中预案与应急措施,确保手术安全。

1月6日,医疗队迎来了首台高原手术挑战——为患者实施“腹腔镜下胆囊切除术+胆道造影术”:

外科团队灵活处置:根据病人情况,制定精准手术治疗方案;依据术中造影结果实时研判,成功排除胆总管梗阻,顺利完成胆囊切除;
影像团队术中指导:参与术中造影,为手术决策提供了关键影像依据,明确了手术路径。
麻醉团队精准护航:针对患者高血压与失明等特殊情况,精细调控麻醉用药与血压管理,有效预防相关并发症;
护理团队全程协同:病房与手术室护士无缝衔接,完成术前准备、术中配合与术后护理;
消毒供应专家严格把关:全程管理器械灭菌与流转,筑牢高原手术安全底线。
在多方紧密配合下,手术圆满成功,患者恢复迅速,术后6小时,即可下床行走。

从前期针对性组队与器械准备,到术前多学科评估、术中协同操作、术后康复管理,本次援藏首台手术全面展现了我院医疗队系统化、全流程的多学科协作能力,实现了在高原环境下医疗服务同质化与高质量拓展的目标。
接下来,我院援藏医疗队将继续秉持“扎根高原、服务群众”的初心,传承首批援藏经验我要配资网网,与当地医务人员携手,推动先进诊疗理念与适宜技术在高原地区落地生根,为巴宜区留下可转化、可持续、可推广的技术成果。
英赫优配提示:文章来自网络,不代表本站观点。